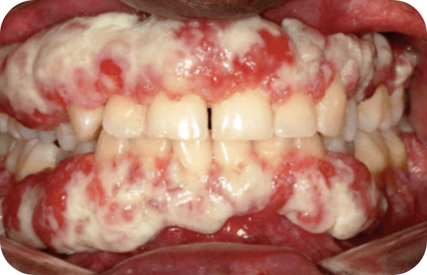
PLGD-1 lesion image gallery
Images of ligneous lesions in real patients with PLGD-1
APPROVED USE
RYPLAZIM® (plasminogen, human-tvmh) is used for the treatment of patients with plasminogen deficiency type 1 (hypoplasminogenemia).
IMPORTANT SAFETY INFORMATION
Do not use RYPLAZIM if you are a patient with known hypersensitivity to plasminogen or other components of RYPLAZIM.
- Bleeding: Use of RYPLAZIM may lead to bleeding at disease-related lesion sites or worsen active bleeding not related to disease lesions. Discontinue RYPLAZIM if serious bleeding occurs. If you are treated at a healthcare provider’s office or center, your healthcare provider will need to monitor you during the infusion and for 4 hours afterward, especially if you have a predisposition to bleeding or are taking anticoagulants, antiplatelet drugs, or other medications that may interfere with normal coagulation. If you infuse RYPLAZIM at home, you or your caregiver must also monitor you during and for 4 hours after the infusion under the same circumstances.
- Tissue Sloughing: If you have mucosal lesions in your respiratory tract, especially the tracheobronchial tree, and are treated with RYPLAZIM, respiratory distress may occur due to tissue sloughing. Please monitor appropriately.
- Transmission of Infectious Agents: RYPLAZIM is made from human plasma and therefore carries a risk of transmitting infectious agents, e.g., viruses, the variant Creutzfeldt-Jakob disease (vCJD) agent, and theoretically, the Creutzfeldt-Jakob Disease (CJD) agent. You should consult with your healthcare provider if you have any questions or concerns.
- Hypersensitivity Reactions: Hypersensitivity reactions, including anaphylaxis, may occur with RYPLAZIM. Immediately report any of the following signs or symptoms of an allergic reaction to your healthcare provider: swelling of the throat, tightness of the chest, low blood pressure, rash, nausea, vomiting, a tingling or pricking sensation, restlessness, wheezing or shortness of breath.
- Neutralizing Antibodies: Antibodies neutralizing plasminogen (also known as inhibitors) which can make the product less effective or ineffective, may form with the use of RYPLAZIM, although they were not observed in clinical trials. If clinical efficacy is not maintained (e.g., development of new or recurrent lesions), your healthcare provider will determine low levels of plasminogen in your plasma.
- Laboratory Abnormalities: Due to the activity of RYPLAZIM, you may have elevated blood levels of D-dimer that may interfere with screening for venous thromboembolism (VTE) using D-dimer levels.
- Adverse Reactions: The most frequent (incidence ≥ 10%) adverse reactions in clinical trials were abdominal pain, bloating, nausea, fatigue, extremity pain, hemorrhage, constipation, dry mouth, headache, dizziness, arthralgia, and back pain.
You may report side effects to +1(855)-353-7466 and US_Medicalinfo@kedrion.com or FDA at 1-800-FDA-1088 or www.fda.gov/medwatch.
For more details, please see full Prescribing Information and the Patient Information.
This site is intended for residents of the US only.
References:
1. Data on file. Kedrion Biopharma Inc.
2. Sadasivan A, Ramesh R, Mathew DG. Ligneous periodontitis in a patient with type 1 plasminogen deficiency: a case report and review of the literature. Case Rep Dent. 2020;2020:5680535.